ប្រតិបត្តិការគ្លីនិកកម្រិតខ្ពស់:
ផ្អែកលើប្រព័ន្ធប្រតិបត្តិការប្រព័ន្ធប្រតិបត្តិការវីនដូ XP ដោយប្រើកម្មវិធីប្រតិបតិ្តការ LED TEND ENDH / ចិន LEDG សម្រាប់ជម្រើសប្លង់អេក្រង់អាចត្រូវបានកែសម្រួលដើម្បីបង្កើនបរិមាណម៉ឺនុយឬផ្លាស់ប្តូរទីតាំងបង្ហាញតាមការស្នើសុំរបស់អ្នកប្រើប្រាស់ គឺមានភាពងាយស្រួលសម្រាប់វេជ្ជបណ្ឌិតដើម្បីមើលប្រតិបត្តិការបច្ចុប្បន្ន។
3. ការបង្កើនប្រសិទ្ធិភាពស្វ័យប្រវត្ដិបន្ទាប់ (ស្វ័យប្រវត្តិ): គ្រូពេទ្យគ្រាន់តែត្រូវការចុចគ្រាប់ចុចស្វ័យប្រវត្តិប្រព័ន្ធនឹងកែសំរួលប៉ារ៉ាម៉ែត្ររូបភាពផ្សេងៗគ្នាដោយយោងតាមសញ្ញាអេកូរបស់អង្គការផ្សេងៗគ្នាដូចជាប្រព័ន្ធអ៊ុចត្រាដែលអាចបង្កើនប្រសិទ្ធភាពវិសាលគមអ៊ុលត្រាស៊ីដោយស្វ័យប្រវត្តិ។ ហើយកែសំរួលមូលដ្ឋាននិងប្រេកង់ពាក្យដដែលៗដែលទទួលបានរូបភាពគួរឱ្យពេញចិត្តភ្លាមៗធ្វើឱ្យការកែសំរួលរូបភាពកាន់តែងាយស្រួលនិងរហ័សធ្វើឱ្យប្រសើរឡើងនូវប្រសិទ្ធភាពនៃការធ្វើរោគវិនិច្ឆ័យគ្លីនិក។
4. ប៉ារ៉ាម៉ែត្រ PREST (លក្ខណៈពិសេសនៃការកែរូបភាពលក្ខណៈ): វេជ្ជបណ្ឌិតអាចធ្វើឱ្យមានប៉ារ៉ាម៉ែត្រដែលល្អបំផុតនៅក្នុងប្រព័ន្ធដែលបានកំណត់ជាមុនយោងទៅតាមលក្ខណៈរូបភាពរបស់អង្គការផ្សេងៗគ្នាដូចជាថ្លើមក្រលៀនអូវែរអូវែនិងអូវែរ ប្រភេទនៃការធ្វើរោគវិនិច្ឆ័យមិនធ្វើរោគវិនិច្ឆ័យមិនធ្វើរោគវិនិច្ឆ័យដែលមានជាប្រចាំដើម្បីធ្វើរោគវិនិច្ឆ័យបានកំណត់ជាមុនប្រព័ន្ធនេះនឹងមានការកែសំរួលដោយស្វ័យប្រវត្តិចំពោះស្ថានភាពនៃការធ្វើរោគវិនិច្ឆ័យ ultrasonic សម្រាប់អង្គការនេះអ្នកនឹងទទួលបានជោគជ័យម្តងទៀតអ្នកនឹងទទួលបានឧត្តមគតិ រូបភាពដែលអាចធ្វើឱ្យប្រសើរឡើងនូវប្រសិទ្ធភាពការងារ។
មុខងារផ្លូវកាត់ធម្មនុញ្ញផ្ទាល់ខ្លួន: ប៊ូតុងផ្លូវកាត់ផ្ទាល់ខ្លួនរបស់អ្នកប្រើប្រាស់អាចកំណត់មុខងារប្រើប៊ូតុងប្រាំដើម្បីសំរេចបាននូវប្រតិបត្តិការឆ្លាតវៃចៀសវាងការកែសំរួលប៉ារ៉ាម៉ែត្រឧបករណ៍ធ្វើឱ្យមានល្បឿនធ្វើរោគវិនិច្ឆ័យ។
6. មុខងារពង្រីកសមត្ថភាព: អាចពង្រីកតំបន់ ultrasonic ណាមួយដែលសង្កេតឃើញការធ្វើរោគវិនិច្ឆ័យដ៏គួរឱ្យកត់សម្គាល់យ៉ាងច្បាស់ធ្វើឱ្យប្រសើរឡើងនូវប្រសិទ្ធភាពការងារនៃការធ្វើរោគវិនិច្ឆ័យគ្លីនិក
បច្ចេកវិទ្យាលាក់ពណ៌: នៅក្នុងរបៀបពណ៌មិនចាំបាច់ចេញពីរបៀបពណ៌អាចធ្វើឱ្យពណ៌ដែលលាក់អនុញ្ញាតឱ្យវេជ្ជបណ្ឌិតអនុវត្តការសិក្សាស្រាវជ្រាវរូបភាពពណ៌និងរចនាសម្ព័ន្ធ 2D ។
មុខងារនៃការវិភាគវិសាលគមពិតប្រាកដ RTSA: របៀបស្កេន (ក្រោមការស្កេនអេសអេសអេសអេសដោយស្វ័យប្រវត្តិនិងគណនា PSV បានដោយស្វ័យប្រវត្តិ AVM, AVM, ATS, DT, PI, Pi និង Hemodynamic ផ្សេងទៀត។
9. រកមើលមុខងារបង្អួច: ការធ្វើរោគវិនិច្ឆ័យនៃរូបភាពដែលបានរក្សាទុកបច្ចុប្បន្នបន្តរកមើលរូបភាពនៅផ្នែកខាងឆ្វេងនៃអេក្រង់អនុញ្ញាតឱ្យវេជ្ជបណ្ឌិតរកមើលបានគ្រប់ពេលធ្វើការប្រៀបធៀបនិងវិភាគ។
ចំណុចប្រទាក់ម៉ាស៊ីនអាចផ្លាស់ទីនៅជុំវិញដោយមានក្តារចុចដែលបានបង្កប់និងពន្លឺផ្ទៃខាងក្រោយអាចបញ្ចូលព័ត៌មានភាសាចិន / ភាសាអង់គ្លេសបានដឹងថាមានអន្តរកម្មរបស់ម៉ាស៊ីនបុរស
ប្រព័ន្ធនាវាចរណ៍របស់ Flows Task: វិភាគអនុគមន៍ដែលបានធ្វើឱ្យសកម្មបច្ចុប្បន្នអនុញ្ញាតឱ្យគ្រូពេទ្យដឹងយ៉ាងច្បាស់នូវភារកិច្ចបច្ចុប្បន្នសូមណែនាំវេជ្ជបណ្ឌិតបន្ទាប់ជាមួយនឹងសូចនាករចម្រុះពណ៌។
បច្ចេកវិទ្យាទំនើប
1. ភាពខុសគ្នានៃការកំណត់រចនាសម្ព័ន្ធប្រេកង់ខ្ពស់វិសាលភាពនៃទទឹងប្រេកង់: 2-14 MHz ប្រេកង់ស៊េរីអារេប្រេកង់ប្រេកង់ប្រេកង់ខ្ពស់គឺ 14,0 មេហ្គាហឺតអតិបរមាពេញចិត្តនឹងតម្រូវការរបស់កម្មវិធីព្យាបាល។
2. ប្រព័ន្ធថាមវន្តដែលមានភាពស្វាហាប់រហូតដល់ 260 DB រួមទាំង 15-145 DB អាចលៃតម្រូវបានដោយអាចទទួលបានច្បាស់និងដាក់មូលដ្ឋានគ្រឹះនៃរូបភាព 2D ។
ការប្រើបច្ចេកវិទ្យារូបភាពបរិវេណគុណភាពបង្ហាញរូបភាព: បណ្តោយ≤1មម, ផ្តេក 0,00, រូបភាព 2D គឺច្បាស់, ច្បាស់, ងាយស្រួលក្នុងការស្វែងរកដំបៅតូច, ជួយធ្វើឱ្យប្រសើរឡើងនូវភាពត្រឹមត្រូវនៃការធ្វើរោគវិនិច្ឆ័យបាន។
បំពាក់ដោយបច្ចេកវិទ្យារូបភាពជីពចរធ្វើឱ្យប្រសើរឡើងនូវការជ្រៀតចូលនិងភាពផ្ទុយគ្នានៃរូបភាពស៊ើបអង្កេតស៊ីជម្រៅ≥ 360 មមជាពិសេសសមស្របសម្រាប់អ្នកជំងឺធាត់និងអ្នកជំងឺដែលមិនងាយស្រួលក្នុងការទទួលបានរូបភាពល្អ។
5. ផ្សំជាមួយនឹងបច្ចេកវិទ្យារូបភាពផ្សព្វផ្សាយការស៊ើបអង្កេតពោះ: ការស្កេនមុំ≥ 105 ដឺក្រេមុំស្កេនប្រឡាយប្រមាណ 1 មុំអាចសង្កេតមើលស្ថានភាពកាន់តែទូលំទូលាយ viscera ធំ។
6. អាន់ឡិនត្រូនិចរូបភាពត្រាប់តាម trapezoidal និងបច្ចេកវិទ្យាផ្លុំធ្នឹម 2D: viscera អាចត្រូវបានគេសង្កេតឃើញជាមួយនឹងលក្ខខណ្ឌទូទៅនៃលក្ខខណ្ឌជាក់លាក់, បង្ហាញយ៉ាងច្បាស់នៃការបាញ់ប្រហារដ៏ខ្លាំង, អនុញ្ញាតឱ្យធ្វើកោសល្យវិច័យលើផ្នែកពិសេស ដែលពិបាកក្នុងការទទួលបាន។
7. រូបភាពនៃការថតរូបភាពរបស់ជាលិកា (ធី): ប្រព័ន្ធបានត្រងបច្ចេកវិទ្យាអាម៉ូនិកកុំព្យូទ័រអាន់ឌូធ័រអ៊ិនធឺណិតបច្ចេកវិទ្យាអាម៉ូនិកបីប្រភេទដើម្បីដឹងថារូបភាពជាលិការសុទ្ធដើម្បីទទួលបានគុណភាពខ្ពស់នៃរូបភាពអាម៉ូនិកដែលមានគុណភាពខ្ពស់។ ក្នុងពេលតែមួយពោះអបអរសាទរប្រេកង់រូបភាពខ្ពស់មានមុខងារដូចជាបែហោងធ្មែញរយៈពេល 2 ប្រេកង់ម៉ូដែលអាម៉ូនិកជម្រើសមានជំរើសអតិបរមាពេញចិត្តនឹងតម្រូវការគ្លីនិកអតិបរមា
8. ជាមួយនឹងបច្ចេកវិទ្យាបង្ក្រាបដ៏អស្ចារ្យធ្វើឱ្យមានព្រំដែនកាន់តែច្បាស់រវាងជាលិកានិងកម្រិតរដ្ឋបាលដើម្បីពង្រឹងការផ្លាស់ប្តូររោគវណ្ឌវង្កដែលមានភាពងាយស្រួលក្នុងការបែងចែកភាពត្រឹមត្រូវនៃការធ្វើឱ្យប្រសើរឡើងនូវភាពត្រឹមត្រូវរបស់អ្នកជំងឺដែលពិបាក អន្តរាគមន៍និងការព្យាបាលនិងគោលបំណងពិសេសផ្សេងទៀត
9. ប្រព័ន្ធអូស្រ្តាលីដូដូដូពណ៌ដែលមានរូបភាពលំហូរឈាម Doppler ដែលមានថាមពលដាប់ប៊ែលដូដថុលដិនធ័រថេបថេបថេបថេបថេបថេបថុលឌុបដាប់ប៊ែលថុលវ៉ូវ័រដាប់ប៊លដាប់ប៊លដាប់ប៊ែលនិងរលកបន្តធាក់ពេញ។ Doppler, លំហូរឈាមអប្បបរមា, ល្បឿនដែលអាចវាស់វែងបានគឺ 1 MM / S, ល្បឿនលំហូរឈាមអតិបរមា> = 12300 ម។ ម។ ទទឹង 0.5-40 មមវាគឺជាប្រព័ន្ធអ៊ុលត្រាសោនអ៊ុលត្រាសោនពណ៌ជាក់ស្តែងជាក់ស្តែង។
10. បានរួមបញ្ចូលគ្នានូវបច្ចេកវិទ្យាដង់ស៊ីតេធ្នឹមដង់ស៊ីតេឌីណាមិកដែលមានភាពប្រែប្រួលខ្ពស់ (HSCFM) បច្ចេកវិទ្យារូបភាពលំហូរឈាមធ្វើឱ្យឧបករណ៍ដែលមានភាពប្រែប្រួលនៃលំហូរខ្ពស់បំផុតព័ត៌មានលំហូរឈាមនីមួយៗអាចត្រូវបានចាប់បានយ៉ាងត្រឹមត្រូវ
ជាមួយនឹងបច្ចេកវិទ្យាផ្លិតលំហូរឈាមពណ៌: ដើម្បីចៀសវាងបាតុភូតដែលមិនចេះនិយាយរវាងទិសដៅនៃលំហូរឈាមនិងពន្លឺពន្លឺបញ្ឈរការប្រេះឆាឈាមមានកំរិតខ្ពស់ដែលមានជម្រើសមុំផ្លាតផ្លាស្ទិចផ្សេងៗគ្នា។
អង្គភាពដែលធ្វើសមកាលកម្មបីពេលវេលាពិតប្រាកដ: 2D និងពណ៌ដូឌិបថើរ, ម៉ាស៊ីន Doppler Spectral អាចត្រូវបានបង្ហាញក្នុងពេលតែមួយងាយស្រួលសម្រាប់វេជ្ជបណ្ឌិតវិភាគភាពផ្ទុយគ្នា។
ការកំណត់រចនាសម្ព័ន្ធប្រព័ន្ធ
14. របៀបបង្ហាញ: ខ, ខ, ខ, ម, ខ, 4 ប៊ី, ប៊ី, រូបភាពបែប Panoramic, បង្វែររូបភាពរបៀប, ការបង្វែរឈាម, តារាងលំហូរឈាម B ពណ៌ លំនាំរបៀបក្រាហ្វថាមពលពណ៌របៀបនៃរបៀបក្រាហ្វថាមពលអគ្គីសនីការថតរូបភាពរបស់ប៊ីយោះ?
15. រូបភាពមាត្រដ្ឋានប្រផេះ 2D ឌីជីថលពេញលេញ
16. រូបភាពលំហូរថលឃ្យូវ័រ
17. ការថតរូបថាមពលដាប់ប្លក់ពណ៌ទិសដៅ
18. pw រលក doppler doppler
19. ថ្ពាល់រលកបន្ត
20. រូបភាពសមាសធាតុផ្សំ
21. រូបភាពឈុតធំទូលាយ (ជម្រើស)
22. រូបភាពដែលមានគុណភាពបង្ហាញខ្ពស់
23. ធីមានទំហំសម្រាប់ប៉ោងប៉ោងលីនេអ៊ែរបេះដូងនិងការផ្លាស់ប្តូរការស៊ើបអង្កេតតាមទ្វារមាស
24. បច្ចេកវិទ្យាបង្ក្រាបទូទៅ
25. អារេលីនឡែនស៊ើបអង្កេតបច្ចេកវិទ្យារូបភាពត្រា
26. អាន់ហែលបញ្ចូលអាន់ឡេសប្រលងបច្ចេកវិទ្យាទស្សនៈរូបភាព
27. របៀបដាប់ប៊ែលថលថល 2D ធ្វើឱ្យបច្ចេកវិទ្យាកែសំរួលដោយស្វ័យប្រវត្តិ
28. ពេលវេលាជាក់ស្តែងធ្វើសមកាលកម្មបី
29. របៀបរូបភាពចារកម្មរូបភាព
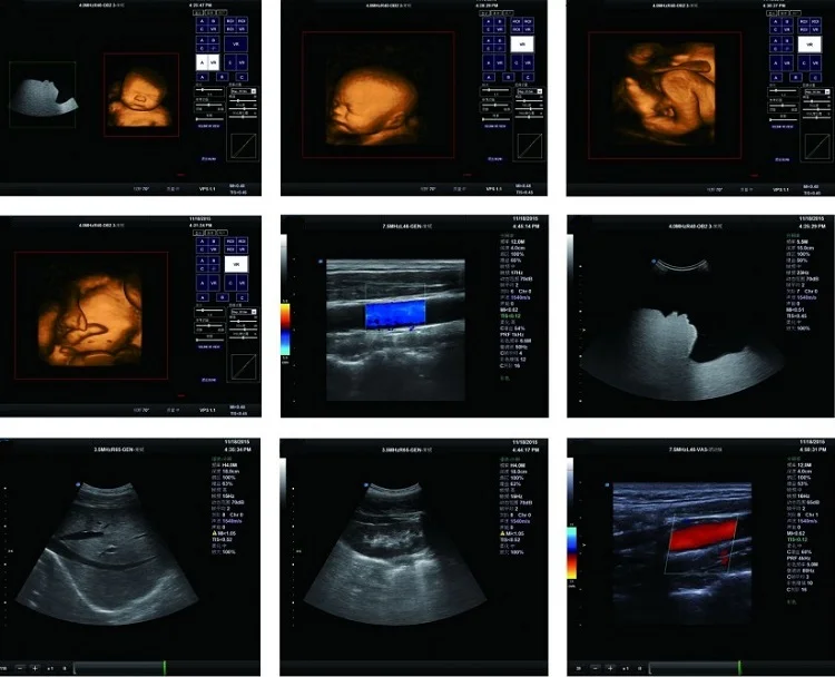
30. របៀបថតរូបភាព 3D ពិតប្រាកដ: ឧបករណ៍ដែលបានបំពាក់ដោយកញ្ចប់កម្មវិធីម៉ូឌុលម៉ូឌុលដែលបានបង្កើតឡើងក្នុងរយៈពេល 4D (3D) អ្នកប្រើអាចប្រើ 3D 3D ស៊ើបអង្កេតដែលត្រូវគ្នាដើម្បីទទួលបានមុខងារល្អឥតខ្ចោះនៃរូបភាព 4D ។
31. ពហុកញ្ចប់បន្ថែមលើកញ្ចប់កម្មវិធីវាស់ទូទៅរោគស្ត្រីរោគស្ត្រីនិងសម្ភពបេះដូងអ្នកជំនាញខាងការវះកាត់ឆ្អឹងនិងការវិភាគលំហូរឈាមពិសេសបានបំពេញតំរូវការ គ្លីនិកនេះ។
32. ប្រព័ន្ធគ្រប់គ្រងក្រាហ្វិចដែលមានស្រាប់: 560 ជីកាបៃរបាយការណ៍ធ្វើរោគវិនិច្ឆ័យអ៊ែដ្រូវីសជាភាសាចិន / អង់គ្លេសដែលបានបង្កប់រូបភាពធ្វើរោគវិនិច្ឆ័យ ultrasonic នៅក្នុងរបាយការណ៍និងការផ្ទុកដោយផ្ទាល់បោះពុម្ពការហៅត្រឡប់មកវិញសំណួរដែលបានសាងសង់ជាដើម។ នៅក្នុងកម្មវិធីបញ្ជាឌីវីឌីនិងចំណុចប្រទាក់យូអេសប៊ី
33. បង្ហាញ: ការបង្ហាញគុណភាពបង្ហាញខ្ពស់ដែលមានគុណភាពបង្ហាញខ្ពស់ 21 អ៊ីញ
34. ជម្រើសស៊ើបអង្កេតពហុ:
35. ការស៊ើបអង្កេតប៉ោង: 2.5-5mhz (ប្រេកង់អថេរភាពប្រេកង់អាម៉ូនិក≥5ប្រភេទ), ស៊ើបអង្កេតការស្កេនមុំ 20 ° ~ 85 ° 8 °មើលឃើញនិងអាចលៃតម្រូវបាន។
36. ការស៊ើបអង្កេតលីនេអ៊ែរ: 6.0-14.0mHz (ប្រេកង់អថេរភាពប្រេកង់អាម៉ូនិក≥4ប្រភេទ) ស៊ើបអង្កេតស្កេនជាមួយរូបភាពត្រីកោណនិងបច្ចេកវិទ្យាផ្លុំស្ពែមប៊ែក។
37. ការស៊ើបអង្កេតឆ្លងកាត់ទ្វារមាស: 5.0-9,0mHz (ប្រេកង់អថេរភាពញឹកញាប់≥2ប្រភេទ), ស៊ើបអង្កេតការស្កេនមុំ 20 អង្សារ ~ 160 °និងអាចលៃតម្រូវបាន។
38. ជាមួយនឹងការស៊ើបអង្កេតកម្រិតសំឡេង 3D (4D) ពេលវេលា: 2,0-5.5 MHz, ប្រេកង់ 4 ប្រភេទដែលអាចលៃតម្រូវបាន។
39. ការស៊ើបអង្កេតអារេដែលមានជម្រើសជាជម្រើសសម្រាប់បេះដូងសម្រាប់បេះដូង: 2,0-5,5mhz, ប្រេកង់ 5 ប្រភេទដែលអាចលៃតម្រូវបាន។